에스프라임
Menu
에스프라임 치과
병원소개
치과장비
임플란트
교정진료
일반진료
치료 전/후 사진
공지사항
치료전후
Home
/ 치료전후
치료 전/후
목록
Total 30건
1 페이지
30
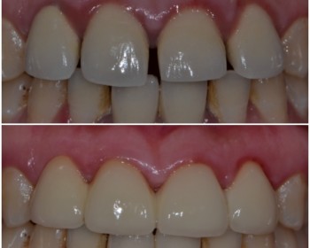
앞니 : 치아사이 충치치료
작성자
에스프라임
작성일
07-06
조회
775
29
다수상실치아/전악임플란트/틀니없이 임플란트로 회복하기
작성자
에스프라임
작성일
07-06
조회
616
28
심미보철 치료
작성자
에스프라임
작성일
07-06
조회
540
27
1년간의 대장정 ! 임플란트 치료완료
작성자
에스프라임
작성일
06-17
조회
543
26
치아사이 공간 해소- 심미보철
작성자
에스프라임
작성일
06-17
조회
503
25
임플란트 치료를 통한 교합기능회복
작성자
에스프라임
작성일
06-17
조회
519
24
신경치료와 심미보철
작성자
에스프라임
작성일
06-17
조회
509
23
오랜 잇몸질환 방치
작성자
에스프라임
작성일
06-17
조회
542
22
레진치료 후 2차 충치 발생
작성자
에스프라임
작성일
06-17
조회
795
21
작은 어금니 충치치료 - 레진
작성자
에스프라임
작성일
06-17
조회
1060
20
금 충전 ( GOLD inlay)
작성자
에스프라임
작성일
06-17
조회
555
19
심미보철을 이용한 앞니치료
작성자
에스프라임
작성일
06-17
조회
548
18
상악동 거상술 !
작성자
에스프라임
작성일
06-17
조회
573
17
임플란트를 이용한 틀니치료
작성자
에스프라임
작성일
06-17
조회
633
16
앞니 심미치료
작성자
에스프라임
작성일
06-17
조회
706
열린
1
페이지
2
페이지
맨끝
게시물 검색
검색대상
제목
내용
제목+내용
회원아이디
회원아이디(코)
글쓴이
글쓴이(코)
검색어
필수