상악동 거상술과 임플란트
페이지 정보
작성자 에스프라임 작성일17-06-17 15:54 조회492회 댓글0건관련링크
본문
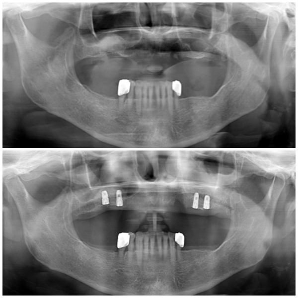
위쪽 전체틀니를 사용하고 계셨으며 틀니가 유지되는 부분이 없어 자꾸 탈락되는 불편함으로 " 임플란트를 이용한 부분틀니 " 작업으로 계획을 하셨습니다.
오랜 틀니 사용으로 인해 잇몸뼈가 많이 줄어들었으며, 임플란트를 식립하기에는
남은 뼈의 길이가 부족한 상태였습니다.
상악동 거상술 이라는 뼈 이식을 통해 충분한 길이를 확보하고
임플란트를 식립하였습니다.
수술 후 약간의 부종만 있을 뿐 다른 부작용은 없으셨습니다.
오랜 틀니 사용으로 인해 잇몸뼈가 많이 줄어들었으며, 임플란트를 식립하기에는
남은 뼈의 길이가 부족한 상태였습니다.
상악동 거상술 이라는 뼈 이식을 통해 충분한 길이를 확보하고
임플란트를 식립하였습니다.
수술 후 약간의 부종만 있을 뿐 다른 부작용은 없으셨습니다.
댓글목록
등록된 댓글이 없습니다.